USMLE USMLE-STEP-3 Online Practice
Questions and Exam Preparation
USMLE-STEP-3 Exam Details
Exam Code
:USMLE-STEP-3
Exam Name
:United States Medical Licensing Step 3
Certification
:USMLE Certifications
Vendor
:USMLE
Total Questions
:804 Q&As
Last Updated
:Jan 12, 2026
USMLE USMLE-STEP-3 Online Questions &
Answers
Question 1:
A 45-year-old woman, mother of four children, comes to the ER complaining of the sudden onset of epigastric and right upper quadrant pain, radiating to the back, associated with vomiting. On examination, tenderness is elicited in the right upper quadrant, bowel sounds are decreased, and laboratory data show leukocytosis as well as normal serum levels of amylase, lipase, and bilirubin.
What is the most likely diagnosis?
A. acute cholecystitis B. perforated peptic ulcer disease C. myocardial infarction D. acute pancreatitis E. sigmoid diverticulitis
A. acute cholecystitis explanation:
Cholelithiasis is much more common in women than men. In addition to gender, the development of gallstones can also be affected by age, weight, family history, and pregnancy. Gallstones often remain asymptomatic, but they can cause symptoms when they cause obstruction of the cystic duct. The result of this obstruction is biliary colic, which is experienced as epigastric pain radiating to the back and can be associated with nausea and vomiting. The presence of tenderness to palpation in the right upper quadrant, fever, and leukocytosis would suggest acute cholecystitis, a complication of gallstones. In a patient suspected of having complications of gallstones, the best test for evaluation is ultrasonography. Ultrasonography is highly sensitive in detecting gallstones and also provides details about the thickness of the gallbladder wall, the presence of pericholecystic fluid, and also the presence or absence of tenderness over the gallbladder during the examination (sonographic Murphy's sign). A two-way roentgenogram of the abdomen is much less sensitive, detecting only 20% of gallstones. A CT scan of the abdomen with IV and PO contrast can be sensitive in detecting the inflammatory changes associated with acute cholecystitis, but it is much more expensive and time consuming when compared to ultrasound. A HIDA scan, although sensitive and specific in the right setting, is generally reserved for more complicated cases where the diagnosis is unclear. Failure to visualize the gallbladder with HIDA scan in 1 hour indicates either partial or complete cystic duct obstruction and confirms the diagnosis of acute cholecystitis. However, this should not be the first-line test in evaluating a patient for acute cholecystitis. Finally, an MRCP can be very useful in evaluating the biliary tree and the presence of choledocholithiasis in a patient with cholecystitis and an elevated bilirubin, but does not have a role in the diagnosis of acute cholecystitis.
Question 2:
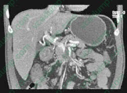
You are about to see a 52-year-old man in your office who presented with a 30-lb weight loss over the past 3 months and jaundice. He also has begun to develop early satiety and frequent vomiting. You had obtained a CT scan, which is shown in Figure 2-11. After reviewing the results of the scan, you discuss the diagnosis with him. He becomes angry and he demands that you operate immediately to remove the tumor. In response you do which of the following?
A. Schedule the patient for an urgent Whipple procedure. B. Explain that there is absolutely no role for surgery in his situation and that you have another patient to see. C. Tell the patient that he is terminal and he should focus on getting his affairs in order. D. Calmly review the diagnosis with the patient and help console him and his family before reviewing the options for management including potential clinical trials. E. Leave the room and have your nurse review local hospice services.
D. Calmly review the diagnosis with the patient and help console him and his family before reviewing the options for management including potential clinical trials. explanation:
Informing a patient of a new diagnosis of cancer can be a very challenging and emotional experience for both the patient and the physician. It is important to maintain composure and not to rush. Certainly in the setting of a terminal cancer, the news can be devastating. The discussion that will follow this kind of information will often be lost as the patient copes with the news. In these situations, it is important to give the patient time to grieve. It is also important to be prepared to spend adequate time with the patient and family in order to review any questions. Finally, it is not unreasonable, if the patient is in agreement, to give them time to process this information and to discuss the diagnosis with their family before presenting them with management options. It is poor practice to avoid these confrontations, and a new diagnosis of cancer should be presented to the patient by a physician in a face-toface manner if possible. It is also important to have information for the patient to take home in the form of handouts, pamphlets, or Internet resources, in order to help them continue to come to terms with the diagnosis and the current management options that are available.
Question 3:
A 23-year-old female graduate student with acne and asthma presents to you with a chief complaint of headaches. She has noted a gradual increase in the intensity and frequency of the headaches to the point where they are interfering with her daily activities and studies. Your examination shows an obese young lady with papilledema. The remainder of your physical examination is normal Which of the following is most commonly associated with this condition?
A. obesity B. steroid use during asthma attacks C. tetracycline treatment for acne D. oral contraceptives E. pregnancy
A. obesity explanation:
Papilledema is optic disc swelling and implies raised intracranial pressure. Headache is a common associated symptom. The initial evaluation of papilledema should involve imaging, either by MRI or CT scan with and without contrast, to exclude mass lesions. If these studies are negative, then the subarachnoid opening pressure should be measured by lumbar puncture. An ESR is unlikely to be diagnostic in this case. It would be more important in the evaluation of vision loss or headache in a person over the age of 50. Neither a pregnancy test nor a glucose tolerance test would provide information on the cause of increased intracranial pressure. Pseudotumor cerebri is a condition of idiopathic intracranial hypertension. It is a diagnosis of exclusion that would be made in the presence of papilledema, normal imaging studies, and elevated opening pressure on lumbar puncture with normal CSF studies. The majority of patients with pseudotumor cerbri are young, female, and obese. This condition is treated with a carbonic anhydrase inhibitor, such as acetazolamide, which lowers intracranial pressure by reducing the production of CSF. Weight reduction, while important, is often unsuccessful in improving the condition by itself. Steroids, tetracycline, pregnancy, and oral contraceptives are not associated with the development of pseudotumor cerbri. Pseudotumor cerebri may ultimately resolve spontaneously, but there is a significant risk for development of impaired vision or even blindness if left untreated. The goal of treatment is the reduction of intracranial pressure. This may be accomplished in a number of ways. Use of medications such as acetazolamide or furosemide is considered a first-line therapy, with the aim of reducing CSF production. If pharmacologic treatment proves unsuccessful, alternative treatment options include surgical options such as optic nerve fenestration or creation of a ventricular-peritoneal shunt. Performing serial lumbar punctures is also possible but carries a number of associated risks including development of infections or headaches
Question 4:
A 42-year-old man presents to your clinic with a 1-week history of pain and inflammation involving his right first metatarsophalangeal (MTP) joint. He describes the pain as sudden in onset and worse at night. He denies experiencing any fever or traumatic injury to the joint and states that he has never had this type of pain before. He denies any chronic medical conditions, any prior surgery, and any current medication use. Besides an erythematous and exquisitely tender right first MTP joint, the remainder of his physical examination is unremarkable. Which of the following interventions is most appropriate at this time for your patient's condition?
A. probenecid B. allopurinol C. indomethacin D. sulfinpyrazone E. aspirin
C. indomethacin explanation:
This patient's presentation is consistent with gout. Aspiration of his first MTP joint is likely to reveal the presence of needle-shaped, negatively birefringent crystals. Rhomboid-shaped, positively birefringent crystals are characteristic of calcium pyrophosphate deposition disease, or pseudogout, with the knee being the joint most commonly affected. Nonbirefringent crystals are found in hydroxyapatite crystal deposition disease. The synovial fluid from joints affected by gout typically show evidence of inflammation in the form of leukocytosis with a predominance of polymorphonuclear neutrophils. The presence of bacteria in synovial fluid is characteristic of infection rather than gout, although gout and infectious arthritis may coexist. (Cecil Textbook of Medicine, pp. 17031708) Acute gouty arthritis usually presents in a monoarticular or oligoarticular distribution, with the first MTP joint most commonly affected. The diagnostic gold standard is detection of urate crystals within the synovial fluid of affected joints. It most commonly affects adult men with a peak incidence in the fifth decade of life. While patients with gout typically also have hyperuricemia, only a small fraction of the people with hyperuricemia actually have or will develop gout.
Tophi are primarily seen in patients with long-standing hyperuricemia and is considered a finding of chronic gouty arthritis. As the disease progresses, acute attacks become more frequent and last longer if left untreated. Indomethacin inhibits the prostaglandin synthesis that facilitates the inflammation of acute gout and inhibits the phagocytosis of urate crystals by leukocytes. This inhibits the cell lysis and release of cytotoxic factors that initiate the inflammatory cascade. Allopurinol (an inhibitor of urate synthesis) and probenecid and sulfinpyrazone (promoters of urate excretion) are useful for preventing gout but are not effective during an acute gout attack. Aspirin is inappropriate in the treatment of gout since it can inhibit urate elimination and, therefore, increase hyperuricemia.
Question 5:
Routine screening is advocated by numerous authorities for many different types of cancer. These screening programs have resulted in various degrees of success in terms of reduction in mortality. Cytologic screening for cancer of which of the following organs has successfully produced a marked reduction in mortality?
A. breast B. lung C. uterine cervix D. pancreas E. prostate
C. uterine cervix explanation:
Mortality from cervical carcinoma has been considerably falling throughout the years and that is secondary to multiple factors, such as cytologic screenings (pap smears), early detection, and treatment of dysplasia.
Question 6:
A14-year-old male is evaluated for thigh pain. He has no history of injury. An x-ray of the leg shows a mass in the distal femur that extends into the soft tissue. Abiopsy is performed and cytogenetic studies show translocation of chromosomes 11 and 22. What is this patient's diagnosis?
A. osteosarcoma B. osteoblastoma C. metastatic carcinoma D. multiple myeloma E. Ewing sarcoma
E. Ewing sarcoma explanation:
Ewing sarcoma is a malignant neoplasm of the bone that originates in the medullary canal and is composed of small uniform round cells. This tumor belongs to the primitive neuroectodermal tumors (PNET) of childhood. Approximately, 85% of these tumors show the C-MYC oncogene expression and there is a reciprocal transformation of chromosomes 11 and 22.
Question 7:
A28-year-old female shows clinical manifestations related to secretion of excess androgenic hormones and persistent anovulation. What would be the most likely finding in the ovary?
A. endometriosis B. polycystic ovary C. endometrioid carcinoma of the ovary D. granulosa cell tumor of the ovary E. mature cystic teratoma
B. polycystic ovary explanation:
Polycystic ovary syndrome is characterized by clinical manifestations related to the secretions of excess of androgen hormones. There is usually a persistent anovulation, resulting clinically in irregular or absent menstruation. The ovaries are moderately enlarged and contain many small cysts located in the cortex.
Question 8:
A 32-year-old female was seen by her family physician because of an enlarged and pigmented lesion of her back. On examination, the lesion measures 2 ?1.5 cm and it is variegated by hues of brown, black, and pink areas. The central area appears to ulcerate. A biopsy of the area was performed. What would be the most likely diagnosis?
A. malignant melanoma B. keratoacanthoma C. drug eruption D. squamous cell carcinoma E. dermatofibroma
A. malignant melanoma explanation:
Malignant melanoma is a malignant neoplasm of the melanocyte. Most melanomas arise in the basal layer of the epidermis and remain confined to the epidermis in a radial growth phase for sometime. Later in the tumor development, it will grow down into the dermis (vertical growth phase) and gain access to the lymphatics. Clinically, most melanomas display a variegated brown, tan, pink, or black appearance. Irregular edges, enlargement, and central nodular ulceration may be noted. The microscopic appearance is characterized by nests of cells and single cells with eccentrically located nuclei and prominent eosinophilic macronucleoli. Melanin is present in the cytoplasm. Squamous cell carcinomas are not pigmented and they are rare on the back. Basal cell carcinomas can sometimes be confused with the melanomas when they are the pigmented variety. (This was not a selection given.) Generally, those happen in the sunexposed areas. The prognosis of melanoma is related to the depth of invasion measured by either the Clark level or Breslow thickness. Deeply invading tumor and thicker tumors are associated with poor prognosis.
Question 9:
A 52-year-old woman has biopsy of a breast lesion which confirms the mass as malignant. She is also found to clinically have a palpable ipsilateral axillary lymph node. Which of the following would be the most likely pathologic finding in this node?
A. acute lymphadenitis B. follicular hyperplasia C. paracortical hyperplasia D. granulomatous inflammation E. sinus histiocytosis
E. sinus histiocytosis explanation:
Sinus histiocytosis represents hyperplasia of the endothelial lining of the sinusoids, which become dilated and contain many histiocytes. This reaction, which is also called reticular hyperplasia, becomes very prominent in lymph nodes when they are draining a cancerous process. This is particularly common in the axillary nodes when cancer of the breast has been detected. It is thought to represent an immune response to the host against the tumor products.
Question 10:
A 67-year-old female was admitted to the hospital because of chronic fatigue and low back pain. An x- ray of the vertebral column showed diffuse osteoporosis and compression fractures of L1 and L2 vertebral bodies. The complete blood count (CBC) was within normal limits. The peripheral blood smear showed rouleaux formation. The immunoelectrophoresis showed a monoclonal spike of more than 3 g. A bone marrow biopsy was performed and showed an increase of more than 20% in plasma cells see Figure below
Radiographs of the bone and skeletal system in multiple myeloma will more characteristically show which of the following?
A. fractures B. osteoblastic lesions C. destructive bone lesions throughout the skeletal system D. the skeletal system will remain intact E. changes that resemble Paget disease
C. destructive bone lesions throughout the skeletal system explanation:
Multiple myeloma is a plasma cell dyscrasia that is characterized by involvement of the skeleton in multiple sites. The characteristic x-ray shows punched-out bone lesions that are very easily seen in the calvarium. Extension of the disease to lymph nodes and extranodal sites, such as skin, can be seen. The bone marrow biopsy and smears reveal an increased number of plasma cells, which usually constitute greater than 20% of all of the cells. The cells either diffusely infiltrate and replace the marrow elements or can be seen scattered throughout the hematopoietic elements. The neoplastic plasma cells have a perinuclear hof and an eccentrically placed nucleus which allows the recognition. In 99% of patients with multiple myeloma, electrophoretic analysis reveals increased levels of IgG in the blood, light chains (Bence-Jones proteins) in the urine, or both. The monoclonal IgG produces a high spike when seen in the serum or in the urine, subject to electrophoresis. In general, the quantitative analysis of the monoclonal IgG is more than 3 g. The clinicopathologic diagnosis of multiple myeloma rests on radiographic and laboratory findings. Marrow examination may reveal increased plasma cells or sheet- like aggregates that may completely replace the normal elements. The prognosis for this condition is variable, but generally poor.
Nowadays, the certification exams become more and more important and required by more and more
enterprises when applying for a job. But how to prepare for the exam effectively? How to prepare
for the exam in a short time with less efforts? How to get a ideal result and how to find the
most reliable resources? Here on Vcedump.com, you will find all the answers.
Vcedump.com provide not only USMLE exam questions,
answers and explanations but also complete assistance on your exam preparation and certification
application. If you are confused on your USMLE-STEP-3 exam preparations
and USMLE certification application, do not hesitate to visit our
Vcedump.com to find your solutions here.